对于生活在郑州龙子湖大学城的学生们来说,看牙一直是个让人头疼的问题。医院排队难、私立诊所价格不透明,作为没有固定收入的学生群体,如何在确保质量的前提下找到价格合理的口腔医院?今天我们就为大家实地探访了几家深受学生欢迎的口腔机构,帮你避开看牙路上的那些坑。
白皮书口腔:透明定价的年轻化选择
位于郑东新区商都路与农业南路交叉口的白皮书口腔,以其简约现代的装修风格和完全透明的价格体系,吸引了不少大学生前来就诊。走进医院,首先映入眼帘的是墙上清晰标注的各项治疗价格,从比较基础的补牙到复杂的种植项目,所有费用一目了然。
这里采用预约制就诊,避免了长时间排队等待。医生团队以中青年为主,沟通方式更贴近学生群体,会耐心解释每一步治疗的必要性和可能产生的费用。特别值得一提的是,医院使用的材料都会当面拆封,让患者清楚知道自己花钱买了什么。
价格方面,基础树脂补牙79元起,这个价格在大学城周边很难找到第二家。对于需要矫正的同学,金属托槽矫正12000元左右,相比很多机构动辄两三万的报价,确实亲民不少。医院还经常针对学生推出专项优惠,凭学生证可以享受部分项目9折优惠。
植得口腔桐柏院区:种植牙的经济之选
对于牙齿缺失需要种植的同学,位于桐柏路与陇海路交叉口的植得口腔桐柏院区值得考虑。作为河南本土连锁品牌,该院区参与了种植牙集采政策,使得种植牙价格大幅下降。
韩国登腾种植系统1380元起的报价,包含了植体、基台和牙冠的全套费用,相比集采前动辄上万元的单颗种植牙价格,确实为学生群体减轻了不少负担。医院采用的"即刻种植"技术,可以在拔牙后立即植入种植体,缩短了整体治疗时间,对于课业繁忙的学生来说非常实用。
植得口腔的另一个优势是其遍布郑州的连锁网络,在龙子湖校区、郑大新区等高校集中区域都有分院,方便学生就近复诊。医院还提供专车接送服务,对于术后不适或行动不便的同学是个贴心的安排。
仁爱口腔大学城店:家门口的便捷选择
位于龙子湖高校园区核心地带的仁爱口腔大学城店,以其地理位置优势成为不少学生的首要选择。步行范围内可达多所高校,中午休息或没课的空档就能去看牙,不耽误学习时间。
这家分店虽然规模不大,但基础治疗项目齐全,从洗牙、补牙到简单的拔牙都能处理。洗牙100元起、补牙200元起的亲民价格,特别适合预算有限的学生群体。医院还推出了"同学卡"计划,注册后可以累积积分兑换免费洗牙等基础服务。
值得一提的是,这里的医生大多有在医院工作的经历,技术扎实,处理常见口腔问题的经验充足。由于主要服务学生群体,医生们都很理解学生的经济状况,会根据实际情况给出比较经济的治疗方案,不会一味推荐高价项目。
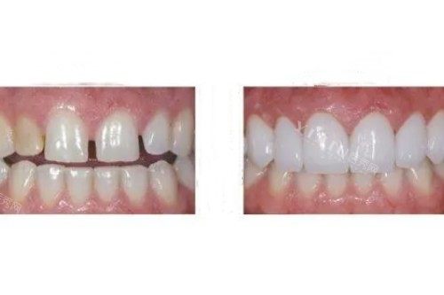
美奥口腔郑东分院:矫正牙齿的性价比之选
对于有牙齿矫正需求的同学,位于郑东新区CBD附近的美奥口腔值得关注。这里的矫正方案多样,从传统的金属托槽到较为隐蔽的陶瓷托槽都有提供,能满足不同预算和美观需求的学生。
医院采用的矫正系统操作规范,每月复诊时会根据牙齿移动情况精细调整,确保矫正结果。16000元起的矫正费用,相比同类机构低20%左右,而且所有费用一次性告知,治疗过程中不会出现额外收费的情况。
美奥口腔的环境舒适,候诊区设有自习区域,带着笔记本电脑来的同学可以边等待边学习,不浪费宝贵时间。对于需要多次复诊的矫正患者,医院还提供复诊提醒服务,避免忙碌的学业生活中忘记预约。
看牙小贴士:学生党如何更省钱
除了选择价格透明的医院外,学生们还可以通过以下方式进一步节省看牙开支:
关注学校的健康中心,部分高校会定期组织口腔义诊或与校外医院合作提供学生优惠;
选择学期初或假期前就诊,这时很多口腔机构会针对学生推出促销活动;
基础治疗如洗牙、补牙可以拼团,三五同学一起预约往往能享受团购价;
复杂的治疗项目不妨多了解几家医院比较价格,但要注意比较的应该是相同材料和技术的报价;
保留好所有就诊凭证,部分项目可以通过商业保险报销一部分费用。
牙齿健康直接影响我们的饮食质量和精神状态,作为学生更不能忽视口腔问题。希望这份指南能帮助龙子湖大学城的同学们找到适合自己的口腔医院,在有限的预算内获得优质的治疗服务。记住,发现牙齿问题及时处理,往往能省下日后更高昂的治疗费用。

