医院基本信息
天津市西青区口腔医院位于西青区杨柳青镇柳口路26号,交通便利,周边公交线路密集。医院联系电话为400-8392-968(建议就诊前拨打确认)。作为区域内规模较大的口腔专科医疗机构,该院开设有牙体牙髓科、修复科、正畸科、儿童牙科等常规门诊,能够满足周边居民的基础口腔诊疗需求。
医院门诊时间为周一至周日8:00-17:30(中午12:00-13:30为休息时间),节假日通常会安排值班医生。就诊流程相对简单:门诊大厅挂号后,到三楼口腔科分诊台排队等候即可。值得注意的是,该院实行"一医一患一诊室"制度,就诊环境较为安静有序。
医生团队概况
西青区口腔医院的医生队伍以中青年骨干为主,其中不乏经验充足的资历深医师。薛春海医生作为科室负责人,拥有三十余年临床经验,尤其在复杂牙体治疗和缺牙修复方面造诣颇深。还曾主持完成多项市级科研项目,获得过三次区级技术进步奖项。
其他医生如李医生(正畸方向)、王医生(儿童牙科)等也各有所长。整体来看,该院医生团队结构合理,能够处理从常规龋齿到复杂种植的各种口腔问题。值得一提的是,医院定期选派医生参加正规培训和学术交流,确保诊疗技术与时俱进。
诊疗项目价格明细
西青区口腔医院的收费体系公开透明,严格执行天津市医疗服务价格标准。以下是该院常见项目的价格区间:
基础治疗类:洗牙150-300元(根据牙齿清洁难度有所浮动);普通拔牙100-300元(复杂阻生齿拔除费用会更高)
龋齿治疗类:浅龋补牙200元左右;中深度龋齿治疗300-500元(如需垫底或特殊处理可能增加费用);根管治疗500-1500元(前牙与后牙价格不同)
修复类:活动假牙500-2000元;烤瓷牙冠800-3000元;全瓷冠1500-5000元(进口材料价格较高);种植牙5000-15000元/颗(含手术费和种植体费用)
儿童专项:乳牙涂氟50-150元;窝沟封闭80-200元(按牙齿数量计费)
其他项目:牙齿矫正5000-20000元(视矫正难度和矫治器类型而定);牙周治疗800-2000元(通常需要多次就诊)
需要说明的是,以上价格仅供参考,具体费用需经医生检查后确定。医院收费处会出具详细清单,所有项目明码标价,不存在隐形消费。
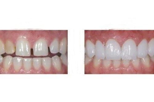
补牙项目的具体情况
补牙作为较基础的口腔治疗项目,在西青区口腔医院有着规范化的操作流程。医生会先通过临床检查和必要时的X光片评估龋坏程度,然后根据具体情况推荐合适的补牙材料。
目前医院主要提供三种补牙材料选择:
玻璃材料:价格较为经济(200元左右),适合儿童乳牙或临时修复使用,但美观度和耐磨性一般。
复合树脂:价格适中(300-400元),颜色接近天然牙,适用于大多数恒牙修复,是临床使用较普遍的材料。
纳米树脂:价格稍高(400-500元),具有更好的耐磨性和抛光结果,特别适合前牙区可见部位的修复。
从接诊情况看,多数成人患者选择300-400元区间的树脂补牙即可满足日常需求。对于接近牙髓的深龋,医生可能会建议先做"安抚治疗"观察1-2周再长久补牙,这种分阶段处理方式虽然增加了就诊次数,但能较大限度保留牙髓活力。
患者就诊体验反馈
通过整理近期就诊患者的评价,西青区口腔医院的整体口碑较为正面。多数患者认为医院"收费合理""医生耐心",尤其对复杂病例的处理方式表示认可。
李女士(32岁)分享:"去年发现大牙有个洞,去私立诊所检查说要根管治疗,报价2000多。后来到西青口腔医院,薛医生检查后说可以先尝试直接补牙,花了380元补好后用到现在都没问题。医生还教了我正确的刷牙方法,很实用。"
但也有部分患者提到"候诊时间较长"的问题,特别是周末就诊时可能需要等待1-2小时。对此医院工作人员解释,由于严格执行每位患者30分钟左右的诊疗时间,且不限制当日挂号数量,高峰时段确实存在排队现象,建议患者尽量选择工作日上午就诊。
就诊注意事项
预约与准备:虽然医院接受现场挂号,但提前电话预约可以节省等待时间。初诊患者建议携带既往牙科检查资料,如有全身性疾病或药物过敏史应主动告知医生。
政策:该院为定点单位,基础治疗项目大多可以报销(美容类项目除外),但报销比例因人而异,建议就诊前了解本单位部门。
术后护理:补牙后2小时内避免进食,24小时内不用补牙侧咀嚼硬物。如出现持续疼痛或充填物脱落应及时复诊。日常应使用含氟牙膏,每半年进行一次口腔检查。
儿童就诊:医院设有独立的儿童牙科诊室,环境温馨。建议家长提前做好孩子的心理建设,可携带孩子喜欢的玩具或图书帮助缓解紧张情绪。
与其他机构的比较
与西青区其他口腔医疗机构相比,西青区口腔医院在价格方面优势明显。以普通树脂补牙为例,该院价格比周边私立诊所低20%-30%。但在服务细节上,如就诊环境、预约比较准度等方面,部分高端私立机构可能体验更佳。
对于复杂病例,该院的处理方式通常更为保守稳妥,不轻易建议创伤性治疗,这点获得了很多中老年患者的认可。而对于追求即刻美观结果或特殊服务的年轻群体,可能会觉得医院的治疗方案"不够激进"。
总体而言,西青区口腔医院适合重视性价比、希望获得稳妥治疗的中老年患者和儿童家庭。对于时间紧张或对就诊环境要求较高的商务人士,可能需要权衡后再做选择。

