“拔个智齿居然能差10倍价格?”近期这句话刷爆了郑州不少本地生活群,刚花2000元拔完牙的市民小李,看到邻居说自己300元就搞定,直呼“亏大了”。
其实这种价格悬殊并非医疗乱收费,答案全藏在智齿的“长相”与生长状态里——越“叛逆”的智齿,拔牙成本越高。
如果智齿位置周正、能正常萌出,且没有压迫邻牙,在普通牙科门诊局部麻醉后就能轻松拔除,加上术前检查和基础药物,三五百元完什么都可以覆盖。
但郑州多数高价拔牙病例,都栽在“阻生智齿”上。
这类智齿或倾斜顶在邻牙上,或深埋在牙龈下,甚至与神经血管紧密相连,不需要要拍口腔CT详细定位,还得由经验充足的医生切开牙龈、去除部分牙槽骨才能拔除,耗时久且风险高,费用自然飙升至两三千元。
建议郑州朋友拔牙前先做全方面检查,让医生评估智齿“叛逆程度”,才能避开价格陷阱。
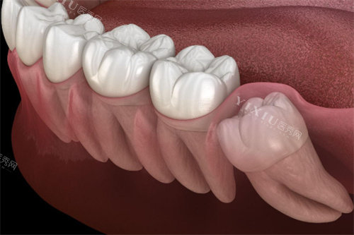
智齿的“美貌”决定价格
先说说较常见的正位智齿:这种智齿像模范生一样端正萌出,拔除过程轻松,医生用牙钳摇几下就能完整取出。
在郑州,这类手术大概花费300到500元,堪称高性价比。
但如果是阻生智齿(比如水平躺倒、斜插邻牙),剧情立刻升级:需要切开牙龈、磨掉部分牙槽骨,甚至把智齿“大卸八块”逐块取出。
这种复杂操作在郑州通常报价800到1500元,如果牙根紧贴神经管,可能突破2000元大关。
更烧钱的是完全埋伏型智齿,它深藏骨内,需要借助CBCT精细定位,手术堪比微型考古,价格直接飙到1500到3000元。
这些隐形加价项容易让人踩坑
很多人不知道,智齿的“邻居”也会影响价格。
比如牙根形态异常(像鱼钩般弯曲或分叉成螃蟹腿),拔除时得像拆炸弹般谨慎,费用自然增加200到500元。
如果智齿周围已经发炎化脓,得先治疗炎症再手术,又多一笔药费;拍片检查也有讲究:普通牙片几十元搞定,但若要三维CT评估神经距离,可能加收200到400元。
更扎心的是,上颌智齿常因操作空间小难度升级,而下颌智齿因骨质致密可能贵出三成。
郑州各区拔牙价格浮世绘
金水区综合医院收费规范但略显高冷,简单智齿500元起步,复杂病例常报价1500元以上;中原区的老牌口腔诊所则走亲民路线,常规拔智齿400到800元常见,但设备可能不如新机构可靠。
东区新开的私立口腔医院是“美貌派”,环境舒适且备有超声骨刀,价格虽贵两成但创伤更小。
值得留意的是,有些社区医院周末常有义诊,基础拔牙300元就能解决,不过复杂病例可能建议转诊。
价格清单参考(郑州市场行情)
正位智齿拔除:300元起
适用于已完全萌出且位置端正的智齿
阻生智齿拔除:800元起
针对倾斜生长、部分萌出或水平阻生的智齿
埋伏智齿拔除:1500元起
完全隐藏在牙槽骨内,需手术切开取出
复杂牙根处理:加收200-500元
适用于牙根弯曲、分叉或邻近神经管的特殊情况
术前CBCT检查:200元起
三维影像评估智齿与神经血管的位置关系
小创口拔牙技术:加收300-600元
使用超声骨刀等设备减小创伤
怎么判断你的智齿值多少钱?
教大家个自测方法:照镜子看智齿是否完整露出,如果能用牙刷刷到全部表面,大概率属于低价组;若只能看到半个牙冠或完全看不见,却经常牙龈肿痛,就要做好四位数的预算了。
有个实用建议:去询问时直接问“我的智齿在片子上属于哪类难度分级?”正规机构通常按1-4级分类,3级以上一定会涉及切开缝合。
特别想提醒咱郑州的老乡们,拔智齿真不是买白菜,千万别一门心思盯着价格挑。
这事儿往小了说是治牙,往大了说关乎口腔健康,贪小便宜很可能吃大亏。
我身边就有位朋友,为了省点钱,在小区附近的小诊所花400块钱拔了颗水平阻生智齿,当时觉得捡了大便宜,结果麻烦紧跟着就来了。
拔牙后没几天,他就发现下巴一直发麻,吃饭没知觉、说话也不得劲。
去大医院检查才知道,拔牙时伤到了下牙槽神经,医生说这种神经损伤改善慢,少则数月多则数年。
这半年来,他跑遍了郑州的口腔科医院,针灸、吃药、理疗没断过,光治后遗症就花了上万块,罪也受了不少,至今下巴还有些麻木感。
其实真正聪明的做法很简单。
就诊时一定要让医生用口镜拉开嘴角,清晰展示智齿的生长位置和全貌;务必拍口腔CT,精正确认牙根形态和神经走向,避免手术风险;更要当面问清报价细节,比如是否包含后续拆线费、降低炎症止痛药费、术后复查费等所有费用。
在郑州看牙,比起一时的低价,收费透明、医生正规才是更该看重的,毕竟健康从来都经不起“便宜”的试探。

