基础治疗类价格
天津爱齿口腔的基础治疗项目价格亲民,为市民提供了实惠的口腔保健选择。洗牙服务从75元起,这个价格在天津地区颇具竞争力。对于牙齿表面仅有轻微牙结石的患者,可以选择基础超声波洁治;若牙齿色素沉积较明显,则建议选择喷砂洁牙,价格会略高一些。
补牙项目190元起,具体费用根据龋坏程度和选用材料而定。对于浅龋患者,采用普通树脂材料即可获得良好修复结果;若龋坏已接近牙髓,则需要进行更深层的处理,费用相应增加。医院提供多种补牙材料选择,医生会根据患者具体情况推荐比较适合的方案。
其他基础治疗项目还包括:牙龈炎治疗220元起,儿童涂氟150元起,窝沟封闭180元/颗。这些预防性治疗能有效保护牙齿健康,避免更重度的口腔问题发生。
牙齿修复类价格
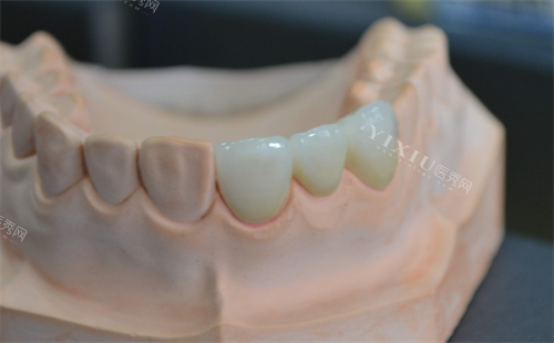
当牙齿缺损较大时,简单的补牙已不能满足需求,这时就需要考虑牙齿修复类项目。爱齿口腔提供多种修复方案:金属烤瓷冠680元起,全瓷冠1200元起,二氧化锆全瓷冠1800元起。不同材质的修复体在美观度、耐用性和生物相容性方面有所差异,患者可根据自身需求和经济条件选择。
对于缺失牙的患者,活动义齿修复800元起,这类修复体便于摘戴清洁,适合多数老年患者。固定桥修复则从2000元起,需要利用邻牙作为支撑,适合缺失1-2颗牙的情况。医院采用精密取模技术,确保修复体与口腔组织高度贴合,提高使用舒适度。
值得一提的是,爱齿口腔的修复类项目均采用正规厂家生产的优质材料,所有修复体都经过严格质检,确保长期使用的靠谱性和稳定性。
种植牙类价格
种植牙作为目前比较接近天然牙的修复方式,爱齿口腔提供了多种选择。韩国品牌种植体6800元起,瑞士品牌9800元起,不同系统的种植体在表面处理、骨结合速度和长期成功几率方面有所差异。
种植手术费用包含术前检查、种植体植入、基台和牙冠等全套服务。医院采用分阶段收费模式,让患者清晰了解每一笔支出的用途。对于骨量不足的患者,可能需要先行骨增量手术,相关费用会根据手术复杂程度单独计算。
爱齿口腔的种植团队由经验充足的医生组成,每位医生都完成过数百例种植手术。医院配备专用种植手术室和严格消毒流程,确保手术过程规范靠谱。术后还会提供详细的护理指导和定期回访,跟踪种植体使用情况。
牙齿矫正类价格
牙齿不齐不仅影响美观,还可能导致清洁困难和咬合问题。爱齿口腔提供多种矫正方案:金属托槽矫正6800元起,陶瓷托槽矫正9800元起,隐形矫正15000元起。每种方式各有特点,适合不同年龄和需求的患者。
矫正治疗通常需要1-2年时间,费用可多期支付。初诊时会进行详细检查,包括拍片、取模等,制定个性化矫正方案。矫正期间每月需要复诊一次,医生会根据牙齿移动情况调整矫治器。医院还特别强调保持器佩戴的重要性,避免矫正后复发。
对于儿童早期矫正,医院有专门的小儿正畸项目,从3500元起。早期干预可以引导颌骨正常发育,减少后期矫正难度和治疗时间。医生会根据儿童生长发育特点,选择比较适合的矫治时机和方式。
医生团队介绍
爱齿口腔拥有一支技术扎实的医生团队,每位医生都在各自领域深耕多年。张医生从事口腔全科治疗15年,尤其擅长复杂根管治疗和小创口修复;李医生专注种植牙领域,完成各类种植手术上千例;王医生则是正畸医师,帮助数百名患者重获整齐笑容。
医院实行首诊负责制,患者从初诊到治疗完成都由同一位医生跟进,确保治疗的连贯性和系统性。医生们看重与患者充分沟通,详细解释治疗方案和预期结果,让患者明明白白接受治疗。
医院还定期邀请比较有名院校医师进行技术指导和学术交流,保持医疗团队的可靠水准与时俱进。护理团队也都经过严格培训,在四手操作和院感控制方面表现可靠,为治疗过程提供有力支持。
患者真实评价
"头一次来爱齿口腔洗牙,比想象中舒服很多。医生动作很轻柔,还耐心告诉我平时刷牙要注意哪些地方。75元的价格真的很划算,以后会定期来做口腔检查。"——河西区刘女士
"在这里做了两颗种植牙,整个过程比预想的顺利。医生技术非常好,手术时没什么不适感。现在已经用了半年,吃东西和真牙差不多,非常感谢医生的可靠治疗。"——南开区王先生
"孩子在这里做的早期矫正,医生特别有耐心,会想办法让孩子配合治疗。现在牙齿排列整齐多了,孩子也更爱笑了。每次复诊护士都会准备小贴纸奖励,特别贴心。"——和平区李女士
医院地址及乘车路线
爱齿口腔位于天津市河西区友谊路32号恒基广场3楼,交通便利。乘坐地铁1号线或5号线在小白楼站下车,B出口步行约500米即达。公交线路可选择观光1路、20路、606路、632路、657路、803路、826路、838路、846路、866路、868路、912路等,在友谊路站下车。
医院营业时间为每天9:00-18:00,中午不休息。为节省候诊时间,建议提前电话预约。院内设有无障碍通道和专用停车位,方便特殊需求患者就诊。候诊区提供饮水机和读物,营造舒适的就诊环境。
术后注意事项
洗牙后24小时内避免进食过冷过热或色素深的食物饮料,如咖啡、红酒、酱油等。部分患者可能出现短暂牙齿敏感,通常几天内会自行缓解,可使用***感牙膏辅助改善。
补牙或修复治疗后,建议2小时内暂不进食,24小时内避免用治疗侧咀嚼硬物。修复体需要时间完全固化,初期可能有轻微不适感,属正常现象,若持续不适应及时复诊调整。
种植牙术后需按医嘱服用抗生素,保持口腔卫生但避免直接刷洗手术区域。术后几天可能出现肿胀,可冷敷缓解。饮食应从流质逐渐过渡到软食,避免辛辣刺激性食物。戒烟对种植体长期成功非常重要。
矫正治疗期间需严格按医嘱佩戴矫治器,保持良好口腔卫生,避免食用扎实过粘食物。每次复诊后可能出现短暂牙齿酸胀,通常3-5天适应。隐形矫正患者需每天佩戴20小时以上,进食时取下并妥善保管。
定期口腔检查的重要性
无论是否接受治疗,定期口腔检查都至关重要。爱齿口腔建议每半年进行一次多方面口腔检查,及时发现潜在问题。儿童应从头一颗乳牙萌出后就开始定期检查,建立良好的口腔健康记录。
医院提供家庭成员计划,多人同行可享受额外优惠。还设有老患者回馈活动,长期在该院就诊的患者可获得专属活动。对于学生和老年人群体,医院在特定时段提供特别优惠,具体可询问前台工作人员。
口腔健康是全身健康的重要组成部分,选择正规医疗机构进行规范治疗才能获得长期稳定的结果。爱齿口腔以合理的价格和优质的服务,致力于为天津市民提供值得信赖的口腔健康管理。

