拔牙,是很多人都经历过的事情,有人是因为智齿反复发炎,有人是因为牙齿重的龋坏无法保留。然而,拔牙后有一种令人谈之色变的并发症 —— 干槽症,它带来的疼痛让患者苦不堪言。很多人心中都有这样的疑问:干槽症是忽然巨疼还是慢慢疼呢?了解这个问题,对于及时发现干槽症、采取有效的治疗措施至关重要。接下来,我们就一起深入探讨干槽症疼痛的特点。
干槽症疼痛的发展过程
干槽症通常是拔牙后感染所引起的。一般来说,干槽症的疼痛并非突然开始,而是一个渐进的过程。在拔牙后的初期,由于手术创伤和局部炎症的刺激,患者可能会感到拔牙部位有轻微的疼痛或不适,这是正常的术后反应。随着时间推移,如果发生了干槽症,疼痛会逐渐加重。
正常情况下,拔牙后的疼痛会随着创口的愈合而逐渐缓解。但干槽症患者的疼痛却会在拔牙后的几天内持续加剧。通常,干槽症多在拔牙后 2 - 4 天出现,少数情况可能延迟至 1 周内。若拔牙后初期疼痛逐渐减轻,随后突然加重,或者拔牙后疼痛持续加剧且无缓解趋势,就需要高度警惕干槽症的发生。
干槽症疼痛的特点
疼痛程度剧烈
干槽症引发的疼痛通常达到中重度水平,患者常描述为刀割样或针刺样疼痛,这种疼痛程度非常重的,可达十级,给患者带来极大的痛苦。而且,这种疼痛一般的止痛药物结果有限,难以有效缓解。
疼痛具有放射性
干槽症的疼痛不仅局限于拔牙部位,还会呈放射性,向耳颞部、下颌区甚至头顶部放射。这使得患者感觉整个半侧头部都在疼痛,重的影响日常生活和工作。
持续不断且难以忍受
干槽症的疼痛是持续不断的,患者可能会在夜间被痛醒,重的影响睡眠质量。而且,这种疼痛无法自行缓解,吃止疼药也难以得到比较有效的制止。
干槽症的其他伴随症状
口腔异味
干槽症患者拔牙部位的感染可能导致口腔出现腐败、恶臭的分泌物,伴有强烈的腐臭味。这是由于细菌感染导致牙槽骨壁的感染坏死产生的特殊气味,呼气或漱口时异味更突出。
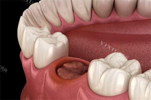
创口异常
拔牙窝内可能缺乏正常的血凝块,形成 “空洞”,周围组织轻度红肿。创口内可见裸露的骨面,且伴有灰白色假膜覆盖,触碰时疼痛加剧。
全身症状
部分患者在疼痛加剧的同时,可能出现低热(体温 37.5℃ - 38℃)、乏力、局部淋巴结肿大、压痛以及张口受限等轻微全身症状,这是机体对感染的应激反应。
容易与干槽症混淆的疼痛情况
如果是持续的轻微疼痛,逐渐加重,可能是由于局部感染导致炎症扩散,进而造成的疼痛,但不一定是干槽症。此外,拔牙后的正常疼痛和干槽症的疼痛也需要进行区分。正常拔牙后疼痛会随着时间逐渐减轻,而干槽症的疼痛则是逐渐加重且程度剧烈。
干槽症的治疗方法
干净清创
如果疼痛部位存在感染,一般需要进行干净清创处理。医生会在局部麻醉下,用生理盐水和双氧水冲洗拔牙窝,去除腐败、坏死的组织,然后局部填入碘仿纱条隔绝外界刺激,这样可以帮助减轻疼痛,促进肉芽组织生长。通常需要每周更换一次纱条,直至创口形成新的肉芽组织。
药物治疗
患者可以在医生指导下接受抗生素或镇痛药物治疗。常用的抗生素有甲硝唑、阿奇霉素、阿莫西林等,用于控制感染;镇痛药物如布洛芬、氨酚待因等,可以减弱疼感。但需要注意的是,不可自行加大止痛药剂量,需按医嘱用药以防副作用。
干槽症的预防措施
注意术后护理
拔牙后要遵循医生的建议,24 小时内避免刷牙漱口,不要用舌头舔舐、吸吮创口,以免导致血凝块脱落。使用吸管或吸烟也可能增加干槽症的发病风险,因此要尽量避免。
饮食注意
疼痛期间注意不要食用过烫、出色及辛辣刺激性食物,以免刺激创口,加重症状。饮食以温凉、软质食物为主,如粥、豆腐、蛋羹等,避免用患侧咀嚼。
特殊人群注意
对于容易发生干槽症的高危人群,如女性、糖尿病患者、吸烟患者等,在拔牙后需要特别注意口腔卫生,同时要按照医生的建议进行抗感染治疗。
及时就医的重要性
无论是何种疼痛形式,只要拔牙后出现异常疼痛,均建议及时到医院就诊,明确病因,然后积极配合治疗。干槽症如果未及时处理,会带来剧烈疼痛并延长愈合时间,极少数情况下还可能发展为更重的的颌骨骨髓炎,此时疼痛会伴随明显肿胀、张口受限甚至化脓,免疫低下患者或未及时处理者可能出现骨质破坏,疼痛持续时间可延长至 2 - 3 周,还可能引发间隙感染等并发症。
总之,干槽症的疼痛通常是逐渐加重的,但也有拔牙后初期疼痛减轻,随后突然加重的情况。了解干槽症疼痛的特点和相关症状,有助于我们及时发现问题并采取正确的治疗措施。拔牙后一定要密切关注创口的改善情况,做好术后护理,一旦出现疑似干槽症的症状,应立即就医,以免延误治疗。

