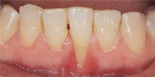
近段日子,我饱受牙龈萎缩的困扰。一开始,只是刷牙时偶尔出血,我没太在意,觉得可能是上火或者刷牙太用力了。可后来,牙龈越来越红肿,牙齿也开始隐隐作痛,甚至牙根都露出来了,不仅影响美观,还让我吃东西变得小心翼翼,生怕碰到敏感的牙根。我意识到,这可不是小问题,必须得去看医生了。
我怀着忐忑的心情走进了牙科诊所。医生让我躺在治疗椅上,仔细地检查了我的口腔。他一边检查一边给我讲解:“你的牙龈萎缩情况比较重的,主要是由于牙周病、刷牙不当等原因导致的。长期的牙菌斑堆积引发了牙周炎症,再加上你可能刷牙方式不太对,对牙龈造成了损伤,所以牙龈才会慢慢退缩。” 听到这些,我心里既自责又害怕,自责自己没有早点重视口腔健康,害怕牙齿保不住。
医生接着说:“牙龈萎缩是一种不可逆转的疾病,治疗只能减缓其进展,对于你现在的情况,要想改善,可能需要进行一些治疗。” 他给我列举了一些治疗方法,比如先治疗牙周疾病,通过洗牙、刮治等方式清除牙菌斑和牙结石,控制炎症;然后根据改善情况,再考虑是否进行牙龈填充手术。我心里很犹豫,手术听起来就很可怕,而且也不知道结果怎么样。医生似乎看出了我的顾虑,安慰我说:“现在的技术很成熟,不用太担心,我们会根据你的具体情况制定较适合你的方案。”
头一阶段的治疗就是治疗牙周病。洗牙的过程并不好受,医生用仪器在我的牙齿上刮来刮去,每一下都让我觉得牙齿酸痛难忍。尤其是刮治的时候,那种深入牙龈的刺痛感,让我差点忍不住要跳起来。我紧紧地握着拳头,眼泪都快流出来了。医生一直在旁边鼓励我:“坚持一下,很快就好了,这是为了你的牙齿健康。”
洗完牙后,我的牙齿变得特别敏感,冷热酸甜都不能碰。医生给我开了一些抗菌漱口水和降低炎症药,让我按时使用,还叮嘱我要改变刷牙方式,使用软毛牙刷,采用巴氏刷牙法。我按照医生的要求,每天小心翼翼地刷牙、漱口,不敢有丝毫懈怠。
在治疗牙周病的这段时间里,我每天都盼着牙龈能快点好起来。每次照镜子,看到红肿的牙龈,心里就充满了焦虑。不过,随着时间的推移,我发现牙龈出血的情况逐渐减少了,红肿也慢慢消退了,这让我看到了一丝希望。
经过一段时间的治疗,牙周病得到了控制,医生说可以考虑进行牙龈填充手术了。他给我详细介绍了几种手术方法:
一种是牙龈移植术,就是从其他健康的部位取牙龈组织来覆盖萎缩的区域。医生说这种方法适用于较重的的牙龈萎缩,结果比较好,但手术相对复杂,改善时间也比较长。
还有软组织扩张技术,适用于因牙齿长期缺失导致的牙龈萎缩。通过扩张周围软组织,增加萎缩区域的软组织量,达到填充结果,术后改善较快,结果自然。
另外,还有牙龈再生术,通过植入生物材料或自体组织工程,刺激牙龈组织的再生,达到填充萎缩部位的目的,具有长期结果,但需要一定的改善时间。
我听着医生的介绍,心里很纠结。手术毕竟有风险,而且每种方法都有优缺点。我和医生反复讨论,结合我的具体情况,然后决定选择牙龈移植术。医生说我的情况比较适合这种方法,成功概率也比较高。
手术那天,我一大早就来到了医院。躺在治疗椅上,我的心怦怦直跳,紧张得手心都是汗。医生和护士在旁边忙碌着,准备手术器械。医生再次安慰我:“别紧张,手术会很顺利的。”
手术开始了,医生先给我打了麻药,很快,我就感觉嘴巴麻乎乎的。然后,他从我的腭部取了一小坨结缔组织,就像他说的 “搬救兵” 一样,把这坨 “援兵” 盖在我暴露的牙根上,接着把牙龈瓣往上拉缝好。整个过程我虽然感觉不到疼痛,但能感觉到医生在我嘴里操作,心里还是很紧张。
手术结束后,麻药的结果渐渐过去,伤口开始疼起来,那种疼痛让我坐立不安。医生给我开了止痛药,让我按时吃,还叮嘱我术后要注意口腔卫生,不能吃太硬的东西。我按照医生的嘱咐,小心翼翼地护理着伤口。
术后的改善过程是漫长而痛苦的。刚开始的几天,我的嘴巴肿得像个包子,说话都不利索,吃东西也只能吃一些流食。每一次吞咽,伤口都会疼一下,那种滋味真不好受。我心里也很担心,害怕手术不成功,牙龈还是不能改善。
但是,随着时间的推移,我发现伤口在慢慢愈合,肿胀也逐渐消退。我按照医生的要求,定期去医院复查。每次复查,医生都会仔细检查我的改善情况,给我一些新的建议。他说我的改善情况还不错,让我继续保持。听到这些,我心里充满了希望。
在改善期间,我也更加关注口腔健康了。我每天认真刷牙、用牙线和冲牙器清理牙缝,每半年到一年就去洗牙和检查牙周。我知道,只有从源头阻止牙菌斑的堆积,才能真正保住我的牙齿。
经过这次牙龈萎缩填补的经历,我收获了很多,也有了深刻的感悟。
首先,我明白了口腔健康的重要性。以前,我总是忽视刷牙这件小事,觉得只要随便刷刷就可以了。现在才知道,不正确的刷牙方式会对牙龈造成这么大的伤害。我们每天都要吃东西,口腔是我们身体的头一道防线,如果口腔不健康,会影响我们的整个身体健康。
其次,我懂得了要相信医生。在治疗的过程中,我曾经有过很多顾虑和担忧,但医生总是耐心地给我解答,给我鼓励。他们有着丰富的经验和可靠的知识,能够为我们制定较适合的治疗方案。所以,当我们遇到健康问题时,一定要相信医生,积极配合治疗。
然后,我也懂得了坚持和耐心的重要性。牙龈萎缩的治疗不是一蹴而就的,需要一个漫长的过程。在这个过程中,我经历了痛苦和挫折,但我始终没有放弃。正是因为我的坚持和耐心,才让我看到了治疗的结果。在生活中,我们也会遇到各种各样的困难和挑战,只要我们坚持不懈,就一定能够克服它们。
现在,我的牙龈已经基本改善了,牙齿也不再那么敏感了。看着镜子里健康的牙齿和牙龈,我感到无比欣慰。我希望我的经历能给大家提个醒,一定要重视口腔健康,定期检查,早发现问题,早治疗,别让牙龈萎缩影响我们的生活。

