"这5.5万花得比买奢望品包值多了!"当我摘下舌侧矫正器,看着镜子里线条流畅的侧脸时,终于理解了为什么闺蜜说"正畸是性价比比较高的医美"。作为25岁被突嘴困扰多年的女孩,我用亲身经历证明:在张栋梁医师团队做舌侧矫正的这笔投资,深度改变了我的人生轨迹。
一、突嘴女孩的美貌困局:拍照永远抿嘴笑
我的突嘴问题从初中就开始显现。那时前排同学总打趣:"你笑起来像只小仓鼠",我却躲在洗手间对着镜子哭。工作后,每次团队合影我都下意识抿嘴,生怕露出参差不齐的牙弓。更尴尬的是,某次重要会议发言时,因为紧张习惯性用舌头顶住上颚,被同事悄悄问"是不是身体不舒服"。
"你这属于骨性二类错颌畸形。"2024年春天,当我头一次走进北京禾禾口腔时,张栋梁医师指着我的CT片耐心解释,"上颌骨前突3mm,下颌骨后缩2mm,但通过更准一些的牙齿代偿性内收,完全可以避免正颌手术。"他展示的3D模拟动画让我眼前一亮——原本外凸的嘴唇逐渐回缩,下巴线条自然显现,这不就是我梦寐以求的"妈生脸"吗?
二、5.5万背后的技术含金量
当护士报出"舌侧矫正基础费用5.5万元起"时,我确实倒吸了一口冷气。但深入了解后才发现,这个价格包含着远超普通矫正的技术价值:
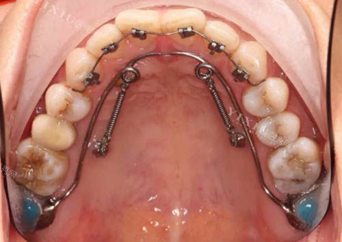
隐形黑科技:藏在舌侧的精密工程
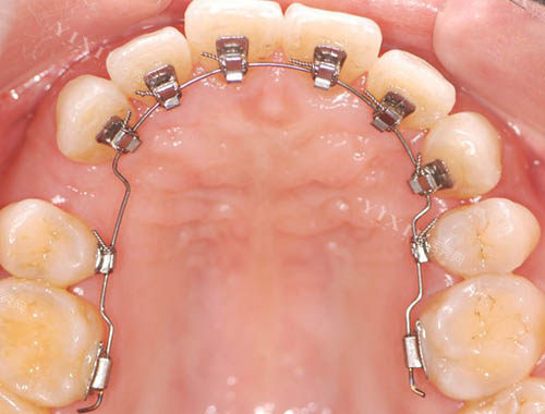
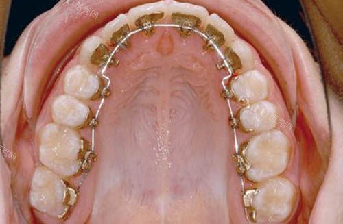
张医师的舌侧托槽系统完全颠覆了我对传统牙套的认知。每个托槽都是根据我的牙列数据3D打印定制,厚度仅0.5mm的镍钛合金背板紧贴牙面,就像给每颗牙齿穿上了隐形盔甲。更神奇的是,矫正丝会根据不同阶段自动调整弯曲角度,这种动态力学系统是他团队历时8年研发的专有技术。
"舌侧矫正对医生技术要求是唇侧的3倍。"助理医生边操作边解释。我亲眼见证张医师用0.012mm的结扎丝固定托槽,每个动作都像在显微镜下做手术。这种更准一些度直接体现在结果上——我仅用8个月就完成了传统矫正需要1.5年的牙列排齐阶段。
美学设计:比整容更自然的改变
张医师创新的"微笑曲线重建术"深度打消了我的顾虑。他不仅调整牙齿倾斜角度,更通过控制转矩值让唇部肌肉自然放松。"看这里,"他指着我的模拟侧影,"内收2.5mm时,鼻唇角会从92°优化到105°,这是比较符合东方人审美的黄金比例。"
这种美学考量贯穿整个疗程。当我担心拔牙会导致面部塌陷时,张医师用生物力学软件演示:"我们会通过支抗钉控制后牙高度,同时用微种植体压低前牙,这样既能内收突嘴,又能保持面部饱满度。"
三、矫正日记:那些痛并快乐的时刻
初戴期:舌尖上的芭蕾
"像含了颗薄荷糖。"这是我对初戴舌侧托槽的头一感受。前三天确实有些不适应,特别是下前牙区偶尔会刮到舌底。但张医师团队准备的缓解方案堪称贴心:定制的正畸保护蜡、含氟漱口水,还有专属营养师制定的软食食谱。
比较让我感动的是第7天的紧急复诊。因为不小心咬到硬物,右下3号托槽松脱。凌晨1点给诊所发消息,没想到值班医生半小时后就赶来处理。"舌侧矫正容不得半点马虎,"他边重新粘接边叮嘱,"这个阶段牙齿移动速度是唇侧的1.8倍,必须严格监控。"
蜕变期:每月见证奇迹
每个月复诊都是惊喜时刻。第3个月,原本外翻的上切牙已经乖乖归位;第6个月,困扰我多年的深覆盖完全消失;***0个月,当张医师用游标卡尺测量颏部突出量减少2.3mm时,整个诊室都响起掌声。
"现在可以尝试露齿笑了。"***2次复诊时,张医师笑着递来镜子。看着镜中自然舒展的笑容,我突然想起两年前那个在洗手间偷偷哭泣的女孩——原来改变真的可以从"齿"开始。
四、5.5万换来的不止是美丽
职场开挂:从"小透明"到"C位担当"
矫正完成后,我主动争取了公司新品发布会的讲解工作。当聚光灯打在脸上,自信的笑容让我收获了职业生涯头一个"比较佳表现奖"。更意外的是,市场部总监私下找我:"你的侧颜杀特别有说服力,要不要考虑转做品牌代言人?"
情感升温:那个会注意我微笑细节的男孩
和现任男友的头一次约会,他盯着我看了好久说:"你笑起来眼睛会弯成月牙,特别好看。"后来才知道,他早就注意到我矫正期间随身携带的牙线盒和冲牙器。"能坚持做舌侧矫正的女孩,一定特别有毅力。"这个细节让我认定,他是对的人。
健康红利:呼吸更顺畅了
原本以为矫正只是美观问题,没想到还改善了呼吸功能。张医师解释:"通过调整牙弓形态,你的气道宽度增加了1.5mm,现在夜间不会再无意识用口呼吸了。"确实,比较近体检显示我的慢性咽炎竟然不治而愈。
五、给突嘴女孩的真心话
当闺蜜问我"5.5万值不值"时,我给她算了笔账:这价格包含28次医师亲诊、3套定制保持器、长期免费复查,还有张医师团队创新的生物力学监控系统。更关键的是,它让我在25岁这个关键节点,完成了从"自卑女孩"到"自信女神"的蜕变。
"正畸是人生重要的投资项目。"张医师的话让我深有感触。现在的我终于明白:与其花5万买限量包,不如投资一个能陪伴长期的较好笑容。当你在重要场合自然露出8颗牙齿的标准笑时,那种由内而外的光芒,才是真正的奢望品。
如果你也正在为突嘴困扰,我的建议是:尽早找像张栋梁医师这样兼具美学素养和技术实力的医师面诊。记住,25岁开始的改变,永远不晚。这5.5万换来的,是一个更美好的自己——这笔账,怎么算都值!

