"哎呦喂!我爷爷啃个苹果能把假牙崩飞,这日子咋过啊?"上周五在社区活动中心,张阿姨举着假牙跟邻居吐槽的画面,像极了咱们身边无数全口缺牙老人的缩影。据卫健委2024年口腔健康白皮书显示,我国65岁以上老人全口缺牙率高达37%,但真正接受规范修复的不足四成。今天咱们就掰开揉碎,把这四种主流修复方式的前世今生说个明白!
一、传统全口义齿:老一辈的"假牙初体验"
"这假牙戴着跟嘴里塞了块橡皮似的!"72岁的王大爷摸着发红的牙龈直摇头。这种用塑料基托+树脂牙的"老古董",确实像给嘴里戴了个塑料碗。
价格梯度:树脂基托款3000-5000元起,金属支架款6000-8000元起(不同城市略有浮动)
适用场景:牙槽骨严峻萎缩、预算有限、想快速解决吃饭问题的老人
真实病例:济南的赵奶奶戴着传统义齿吃了三年流食,去年在济南市口腔医院换了BPS吸附性义齿后,现在能啃排骨了!她主刀的刘洪飞主管说:"传统义齿就像踩高跷,吸附性义齿就像穿胶鞋,稳定性差着十万八千里。"
致命伤:说话大舌头、吃饭使不上劲、三个月就得调一次基托。网友"夕阳红"吐槽:"有次打喷嚏假牙飞出去,孙子笑到打滚!"
二、种植固定义齿:土豪的"第三副牙"
"这牙种得比真牙还结实!"在青岛第三人民医院刚做完All-on-4种植的李叔叔,摸着刚装好的全瓷牙桥直咂嘴。这种在上下颌各植入4-6颗种植体的"土豪方案",确实像给嘴里装了钢筋混凝土。
价格梯度:半口种植5万-15万,全口种植10万-30万(含进口种植体+全瓷冠)
技术亮点:邢成岗副主管医师团队,采用智能化导板种植技术,把手术误差控制在0.1毫米内。"我们去年做了127例全口种植,成功几率98.6%"邢主管翻着病例本说。
适用禁忌:牙槽骨高度<8mm需要骨增量手术,糖尿病控制不佳者慎选。网友"种植小白"哭诉:"种了半年牙,光骨粉就花了三万!"
隐藏成本:术后每年要做CT复查,种植体周围炎治疗一次就得2000+。但好处也是明摆着的——北京口腔医院的陈医师说:"种好的牙用二十年没问题,算下来比假牙还划算。"
三、覆盖种植义齿:中产家庭的"性价比之选"
"既不用遭大罪,又能吃硬菜!"在上海九 院做完覆盖种植的周阿姨,现在每天变着花样做饭。这种在牙槽骨上种2-4颗"钉子",再卡上活动假牙的方案,就像给假牙装了四个固定锚点。
价格梯度:2颗种植体+Locator附着体2万-4万,4颗种植体+杆卡式5万-8万
技术革新:杭州市口腔医院的王代福医生团队,采用磁性附着体技术,把假牙吸附力提升了3倍。"去年有位患者戴着假牙跳广场舞,假牙纹丝不动"王医生笑着说。
适用人群:牙槽骨条件中等、不想做全口种植、预算5万以内的群体。网友"精打细算"分享:"我选了2颗种植体方案,现在吃花生米都不带掉的,比传统假牙强太多了!"
维护要点:每半年要检查附着体磨损情况,种植体周围清洁比普通假牙更讲究。济南某口腔机构数据显示,覆盖种植义齿五年存留率达92%,比传统义齿高37个百分点。
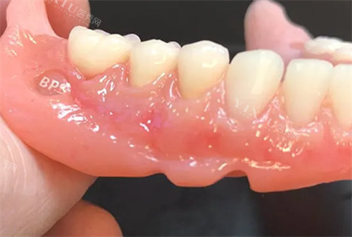
四、吸附性义齿:牙槽骨"贫瘠"者的救星
"这假牙吸得比章鱼还牢!"在西宁惠康医院刚戴上BPS吸附性义齿的马奶奶,现场表演啃苹果惊呆众人。这种利用大气压力固位的"黑科技",专门攻克牙槽骨严峻萎缩的难题。
价格梯度:半口1.2万-2万,全口2万-3.5万(含个性化基托)
技术奥秘:通过精细取模+边缘封闭技术,让义齿与牙龈形成负压吸附。北京大学的林医师解释:"就像给手机贴钢化膜,边缘要完全贴合才能不翘边。"
真实体验:78岁的刘爷爷戴着吸附性义齿去旅游,在黄山山顶啃烧饼的照片火遍朋友圈。"以前戴假牙不敢笑,现在拍照都爱露牙"刘爷爷得意地说。
适应期提醒:前两周会有异物感,需要练习"吞咽式佩戴法"。网友"笑口常开"提醒:"头一次戴要找医生调三次以上,别怕麻烦!"
理想选择指南:按这四步走不踩坑
摸骨测试:先拍CBCT看牙槽骨高度,<5mm直接考虑吸附性或覆盖种植
钱包体检:预算<2万选传统义齿,5万左右选覆盖种植,>10万冲种植固定义齿
身体评估:有三高或骨质疏松的老人,优先选无需手术的吸附性义齿
医生把关:一定要找有"口腔种植专科医师"资质的医生,查执业证编号!
"现在知道为啥有的假牙能啃螃蟹,有的连豆腐都咬不动了吧?"看完这篇干货,是不是瞬间觉得选择困难症好了大半?记住啊,选修复方式就像找对象,没有更好的,只有适合的!
互动时间:你或家人正在用哪种修复方式?遇到过什么糟心事?快来评论区唠唠!

