本文围绕种植牙后牙龈萎缩的原因、解决办法以及人工牙根的相关知识展开。首先分析了种植牙后牙龈萎缩可能是由于口腔卫生不良、种植体设计与安装问题、牙周炎等多种因素导致;
接着针对不同原因详细阐述了相应的解决办法,如加强口腔清洁、进行牙周治疗、修复种植体等;然后对人工牙根的定义、材质、工作原理等方面进行了介绍,旨在为关注种植牙相关问题的读者提供齐全且实用的信息。
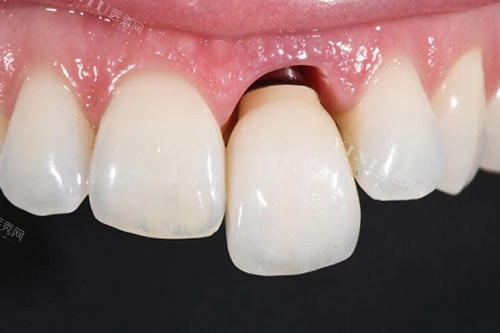
在现代口腔医学领域,种植牙已经成为修复缺失牙齿的一种常见且有效的方式。然而,部分患者在种植牙后会遇到牙龈萎缩的问题,这不仅影响美观,还可能对种植牙的稳定性和使用寿命产生不良影响。
同时,对于很多想要进行种植牙手术的人来说,人工牙根这一概念既陌生又关键。下面我们就来详细探讨这些问题。
种植牙后牙龈萎缩怎么回事
口腔卫生不良
口腔卫生状况是影响种植牙周围组织健康的重要因素。如果患者在种植牙后没有养成良好的口腔清洁习惯,食物残渣、细菌等容易在种植体周围堆积,形成牙菌斑和牙结石。
这些有害物质会持续刺激牙龈组织,引发炎症,长期炎症刺激会导致牙龈逐渐萎缩。例如,有些患者刷牙方法不正确,不能有效清洁到种植体周围的区域,或者不使用牙线、漱口水等辅助清洁工具,就容易出现这种情况。
种植体设计与安装问题
种植体的设计和安装是否合理也会影响牙龈健康。如果种植体的形状、尺寸与患者的口腔条件不匹配,或者在安装过程中位置不比较准,可能会导致种植体周围的应力分布不均匀。
局部应力过大可能会对牙龈组织造成损伤,进而引起牙龈萎缩。比如,种植体植入的深度过深或过浅,都可能破坏牙龈的正常生理结构,影响其血循环和营养供应。
牙周炎
牙周炎是一种常见的口腔疾病,即使进行了种植牙手术,患者仍然可能患上牙周炎。牙周炎主要是由牙菌斑中的细菌引起的,它会导致牙周组织的炎症和破坏。
如果在种植牙前患者就已经存在牙周炎,而没有得到干净治疗,那么炎症可能会蔓延到种植体周围,引起牙龈萎缩。此外,种植牙后口腔环境发生变化,也可能增加患牙周炎的风险。
身体因素
患者的全身健康状况也可能与种植牙后牙龈萎缩有关。一些全身性疾病,如糖尿病、免疫系统疾病等,会影响身体的免疫功能和组织修复能力。
糖尿病患者由于血糖控制不佳,容易导致口腔内细菌滋生,增加感染的风险,从而影响种植体周围组织的健康,引发牙龈萎缩。
有没有什么解决办法
加强口腔清洁
对于因口腔卫生不良导致的牙龈萎缩,加强口腔清洁是关键。患者应该掌握正确的刷牙方法,每天至少早晚各刷牙一次,每次刷牙时间不少于三分钟。
同时,要使用牙线、牙缝刷等工具清洁牙齿邻面,去除食物残渣和牙菌斑。此外,定期使用漱口水可以抑制口腔内细菌的生长。建议患者每半年到一年到口腔医院进行一次洗牙,清除牙结石。
牙周治疗
如果牙龈萎缩是由牙周炎引起的,需要进行系统的牙周治疗。首先,医生会对患者的口腔进行齐全检查,评估牙周炎的严峻程度。
然后,根据病情进行龈上洁治、龈下刮治等基础治疗,去除牙菌斑和牙结石。对于病情较严峻的患者,可能还需要进行牙周手术,如翻瓣术等,以干净清除感染组织,促进牙周组织的修复。
修复种植体
如果种植体的设计或安装存在问题,导致牙龈萎缩,可能需要对种植体进行修复或重新种植。医生会根据具体情况,评估种植体是否可以通过调整位置、更换部件等方式进行修复。如果种植体无法修复,可能需要将其取出,待牙槽骨修养后重新进行种植手术。
控制全身疾病
对于因全身性疾病导致的牙龈萎缩,患者需要积极治疗原发疾病。例如,糖尿病患者要严格控制血糖水平,遵循医生的治疗方案,合理饮食、适量运动、按时服药。同时,要定期到口腔医院进行检查和维护,以便及时发现和处理口腔问题。
人工牙根是什么
定义
人工牙根是种植牙系统的重要组成部分,它是一种植入牙槽骨内的装置,用于替代缺失牙齿的牙根。人工牙根通过与牙槽骨形成骨结合,为上部的牙冠提供稳定的支撑,使种植牙能够像天然牙齿一样行使咀嚼功能。
材质
目前,临床上常用的人工牙根材质主要是钛及钛合金。钛具有良好的生物相容性,能够与人体组织和平共处,不易引起排异反应。同时,钛的强度较高,能够承受一定的咀嚼压力。
此外,一些新型的人工牙根材料也在不断研发中,如陶瓷材料等,陶瓷材料具有美观、生物活性好等优点,但目前应用相对较少。
工作原理
人工牙根的工作原理基于骨结合理论。当人工牙根植入牙槽骨后,周围的骨细胞会逐渐生长并附着在人工牙根表面,形成紧密的骨结合。
这种骨结合使得人工牙根与牙槽骨成为一个整体,能够有效地传递咀嚼力。在植入人工牙根后,一般需要等待一段时间(通常为 3 - 6 个月),让骨结合充分形成,然后再安装上部的牙冠。
优势
与传统的假牙相比,人工牙根具有明显的优势。首先,人工牙根能够提供更稳定的支撑,使种植牙的咀嚼功能更接近天然牙齿,患者可以正常咀嚼各种食物。
其次,人工牙根不会损伤相邻的健康牙齿,对口腔组织的损伤较小。此外,种植牙的使用寿命相对较长,如果维护得当,可以使用多年甚至长期。
总之,种植牙后牙龈萎缩是一个需要引起重视的问题,患者要了解其原因并采取相应的解决办法。同时,对于人工牙根的相关知识也应该有所了解,这样才能更好地选择和维护种植牙,因素口腔健康。
在进行种植牙手术前,患者应该选择正规的口腔医院和有经验的医生,做好齐全的口腔检查和评估,以降低种植牙后出现问题的风险。

