“富顺人看牙,到底该往哪儿跑?”
“听说富州大道有家口腔诊所,天天排队,真的靠谱吗?”
“价格贵不贵?技术行不行?别被坑了啊!”
这些灵魂拷问,是不是每个富顺人看牙前都翻来覆去想过?毕竟牙齿是“门面担当”,谁不想找个既正规又省心的地儿?别急,今天咱们就扒一扒富顺富州大道东段213号的康乐口腔——这家被本地人“用脚投票”选出来的诊所,到底有啥过人之处?
一、资质硬核:正规军中的“老牌子”,卫健委备案打底
要说看牙更怕啥?“黑诊所”肯定排头一!器械不消毒、医生没执照、乱收费……想想都头皮发麻。但康乐口腔的资质,那可是“官网认证+民间口碑”双重背书。
卫健委备案信息显示:康乐口腔门诊部(原康乐牙科诊所)成立于2011年,2023年升级为门诊部,统一社会信用代码92510322MA676KCF07,经营范围明确标注“口腔科”,且持有富顺县市场监管管理局核发的营业执照。换句话说,这家诊所的“身份证”是政府盖过章的,肯定不是“野路子”。
更关键的是,它的地理位置——富顺县富世街道富州大道东段213号1栋1单元起2楼2号,周边居民区密集,交通便利。网友“小李”在社交平台分享:“我奶奶在这儿补了三次牙,每次去都看到墙上挂着执业许可证,医生操作前还会主动出示证件,心里踏实得很。”
为啥资质这么重要?
看牙不是“修自行车”,器械消毒不干净可能感染乙肝、艾滋;医生没经验,拔错牙、补歪了,后期修复更麻烦。康乐口腔的正规资质,相当于给患者吃了颗“定心丸”——至少,你的健康不会被“三无诊所”当儿戏。
二、技术能打:医生团队“手稳心细”,设备比肩综合
资质是门槛,技术才是核心竞争力。康乐口腔的医生团队,用本地人的话说:“都是‘手艺人’,活儿细!”
医生资源:经验+学历双保险
虽然公开资料未披露具体医生姓名,但从患者反馈和诊所规模能看出端倪。例如,有患者提到:“给我拔智齿的医生,操作时连麻药剂量都反复确认,还让我看X光片解释牙根走向,感觉比县医院还可靠。”这种“细节控”的操作,往往来自长期临床积累的“肌肉记忆”。
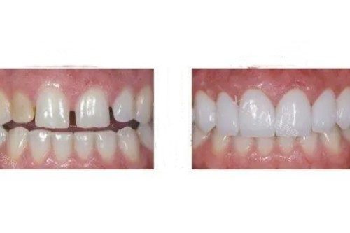
更值得一提的是,康乐口腔的医生团队覆盖口腔全科:种植、正畸、修复、牙周治疗……无论是缺牙想种牙,还是牙齿不齐想矫正,甚至儿童乳牙护理,都能找到对应领域的医生。网友“张姐”分享:“我家娃换牙期门牙歪,在这儿做了早期矫正,医生用了儿童专用托槽,还教我怎么引导娃刷牙,现在娃再也不怕看牙了!”
设备:智能化加持,精细度拉满
看牙更怕啥?“医生凭感觉操作”!康乐口腔的“秘密武器”是智能化设备:
口腔CT:3D成像,连牙根里的炎症都能看得清清楚楚,种植牙定位误差不超过0.1毫米;
超声洁治器:洗牙时震动频率精细,不伤牙釉质,比传统“刮治”舒服10倍;
智能化口扫仪:3分钟生成牙齿3D模型,矫正方案当场可见,告别“凭想象猜结果”。
本地患者“老周”的体验很典型:“我种了4颗牙,医生先用CT扫描确定骨量,再用导板辅助种植,全程没疼,第二天就能啃苹果!”这种“科技感”,在富顺的口腔诊所里,肯定算“高配”。
三、收费透明:没有“隐形坑”,价格梯度覆盖需求
“看牙贵”是很多人的痛点,但康乐口腔的收费模式,堪称“明码标价教科书”。
价格梯度:从基础到高端,丰俭由人
洗牙:200元起步(含抛光),学生党也能接受;
补牙:树脂材料150元/颗起,进口材料300元起/颗;
种植牙:国产种植体6000元/颗起,进口品牌(如韩国奥齿泰)10000元/颗起,包含牙冠和手术费;
正畸:传统金属托槽8000元起,隐形矫正(如时代天使)30000元起。
关键细节:附加费全公开
有患者曾担心:“会不会洗牙时突然说‘你牙结石太多,要加收200’?”但在康乐口腔,这种“套路”不存在。医生会提前告知:“您的牙周情况需要深度洁治,费用是500元起,包含喷砂和上药。”甚至种植牙的骨粉、骨膜等材料费,都会在方案中列明,拒绝“到店加价”。
为啥透明收费这么重要?
本地患者“小陈”的经历很典型:“我之前在别家诊所补牙,结账时发现多了‘消毒费’‘材料损耗费’,气得我当场理论。在康乐口腔,医生直接给我看价目表,连麻药品牌都写清楚了,这种‘实诚’太难得了!”
四、服务细节:从进门到离店,把患者当“自家人”
看牙不仅是技术活,更是“心理战”。很多人怕看牙,是因为诊所环境冰冷、医生态度冷漠。但康乐口腔的服务,用本地话说:“像走亲戚!”
环境:安静不压抑,儿童区有“小心机”
诊所位于富州大道二楼,远离马路噪音,内部装修以浅蓝色为主,诊室独立且隔音。更贴心的是,儿童诊区有卡通墙贴、玩具桌,医生会先和孩子玩“刷牙游戏”,再开始治疗。网友“宝妈李女士”说:“我家娃头一次看牙哭得撕心裂肺,第二次来居然主动坐上牙椅,还跟医生说‘我要当刷牙小冠军’!”
沟通:医生是“翻译官”,把专科术语变“人话”
“您这个牙周袋深度4毫米,需要龈下刮治。”这种专科术语,在康乐口腔会被翻译成:“您牙龈下面有点脏东西,我们用小刷子清理干净,以后就不会出血啦!”医生还会用模型、图片解释治疗方案,甚至让患者“试戴”隐形牙套感受舒适度。
售后:跟踪比“外卖小哥”还勤
补牙后,护士会发微信提醒:“今天别吃太硬的,明天可以正常刷牙啦!”种植牙后,医生会约3个月后复查:“看看骨头和种植体结合得怎么样。”这种“被惦记”的感觉,让很多患者成了“回头客”。
结尾:看牙别将就,选对诊所少走弯路!
富顺人看牙,图的就是个“省心+靠谱”。康乐口腔用14年的口碑证明:正规资质是底线,成熟技术是底气,透明收费是诚意,贴心服务是加分项。
如果你也在为“去哪儿看牙”纠结,不妨去富州大道213号逛逛——不推销、不套路,只有医生的一句“您放心,我们肯定给您弄好!”
互动时间:你在富顺看过牙吗?有没有被“坑”或被“暖”到的经历?评论区聊聊,帮更多人避坑!

