上海牙齿贴面需要多少钱一颗?树脂贴面500元起、全瓷贴面3000元起、超薄瓷贴面6000元起~

口腔整形2025-10-21 14:56

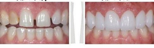
在上海,牙齿贴面已成为许多人改善牙齿美观的热门选择。无论是四环素牙、氟斑牙,还是牙缝过大、牙齿形态不佳,贴面都能通过小创口方式快速提升笑容自信。

那么,上海做一颗牙齿贴面到底要花多少钱?不同材料、品牌、医院的价差为何如此明显?本文结合2025年更新市场数据,为您拆解价格背后的逻辑。

牙齿贴面安装图

一、价格区间:500元到1万元,差价为何这么大?

根据2025年上海多家口腔机构的数据,牙齿贴面的单颗价格跨度极大,从500元到1万元以上不等。这种差距主要受材料、品牌、技术工艺和医生经验的影响。例如,普通树脂贴面可能需要几百元,而进口超薄瓷贴面可能超过8000元。以下为具体分类:

树脂贴面:500元起,短期美白的性价比之选

树脂贴面是价格更低的选项,单颗费用在500元至1500元之间。它的优势在于操作快速、成本低,适合临时改善牙齿颜色或形态(如面试、约会前急救)。但缺点明显:树脂材料易染色,寿命仅2-3年,光泽度随时间下降,且厚度较大,可能影响咬合舒适度。

适用人群:预算有限、需要短期美观改善者。

全瓷贴面:3000元起,长期美观与耐用的平衡

全瓷贴面是当前市场主流,单颗价格在3000元至8000元之间。其核心优势在于生物相容性较好(对牙龈刺激小)、透光性接近真牙、抗染色性强(喝咖啡、茶不易染色),且寿命可达10年以上。根据品牌和工艺差异,价格进一步细分:

牙齿贴面修复改善图

国产全瓷贴面:如爱尔创、美加,单颗1200元至3000元。适合轻度牙缝、着色问题,性价比高。

进口全瓷贴面:如德国VITA、瑞士义获嘉、美国3M LAVA,单颗3000元至8000元。材料强度更高,色阶过渡更自然,适合长期咖啡/茶饮爱好者或对美观要求极高者。

术例:28岁的李女士因四环素牙选择8颗进口E-MAX全瓷贴面,总费用2.4万元(3000元/颗),修复后牙齿色阶从A4白提升至B1自然白,5年随访无崩瓷。

超薄瓷贴面:6000元起,小创口与高端美学的结合

超薄瓷贴面厚度仅0.2mm至0.3mm,无需大面积磨牙,对牙釉质损伤极小,适合牙齿敏感或追求“没有创口”体验者。但其工艺复杂,价格普遍在6000元至1万元/颗。例如:

美加超薄瓷贴面:单颗6400元起,需定制化设计,适合前牙美学修复。

德国泽康超薄贴面:单颗8800元起,抗裂性强,适合后牙咀嚼功能修复。

适用人群:牙齿敏感、不愿磨牙或对美观要求极致者。

牙齿贴面成品图

二、价格差异的核心:材料、品牌与技术“三重奏”

材料:瓷与树脂的“性能与价格”博弈

树脂材料:成本低,但易老化、变色,需定期更换。

瓷材料:根据成分和工艺分为玻璃陶瓷、氧化锆等,强度、透光性、抗染色性逐级提升,价格也随之上涨。例如,玻璃陶瓷贴面(如E-MAX)透光性优于氧化锆,适合前牙;氧化锆贴面强度更高,适合后牙。

品牌:进口与国产的“技术溢价”

进口品牌(如德国VITA、美国3M)因材料纯度、工艺精度更高,价格通常比国产品牌高30%-50%。例如,国产爱尔创全瓷贴面单颗1500元至3000元,而进口同类型产品可能达4000元至6000元。

技术:智能化与手工的“效率与更准一些度”差异

传统手工贴面:依赖医生经验,价格较低,但贴合度可能受影响。

智能化导航贴面:结合3D扫描、CAD/CAM设计,误差控制在0.1mm以内,粘接厚度仅0.3mm,术后异物感极低,但价格增加1000元至2000元/颗。

牙齿贴面

三、医院选择:从社区门诊到高端诊所,价格与服务如何权衡?

上海口腔机构分为三类,价格与服务差异显著:

社区连锁门诊:800元起,性价比首要选择

如松丰齿科、尤旦口腔,树脂贴面800元起,全瓷贴面2600元起。优势在于价格亲民,支持多期付款,适合预算有限的学生或职场新人。但设备可能较基础,医生经验参差不齐。

综合口腔医院:3000元起,技术与服务平衡

如全瓷贴面3000元至6000元。医生团队经验充足,设备可靠(如瓷睿刻即刻修复系统),适合复杂病例(如重度氟斑牙、咬合调整)。但预约周期较长,服务体验可能不如高端诊所。

高端私立诊所:6000元起,定制化与隐私并重

如美奥口腔、爱彼齐口腔,超薄瓷贴面8000元起,提供“微笑设计”、私人订制服务,环境私密,适合高净值人群。但部分机构存在“价格虚高”问题,需仔细甄别。

牙齿贴面照片

四、避坑指南:价格背后的“隐形陷阱”

低价诱惑:部分机构以“800元全瓷贴面”为噱头,实际使用劣质材料,导致贴面易崩裂、牙龈发炎。

过度治疗:医生为增加收益,可能建议不必要的贴面数量(如健康牙齿也做贴面)。

隐形消费:术前检查、术后维护等费用未提前告知,导致总价超预期。

建议:选择正规机构,要求医生出示材料质检报告,明确总价包含项目(如是否含临时冠、复诊费用)。

牙齿贴面前后示意图

预算有限:选国产全瓷贴面(1500元至3000元/颗),兼顾美观与耐用性。

追求长期结果:选进口全瓷贴面(3000元至6000元/颗),抗染色性强,寿命长。

牙齿敏感/不愿磨牙:选超薄瓷贴面(6000元至1万元/颗),小创口体验佳。

复杂病例:选综合口腔医院,医生经验更丰富。

在上海,牙齿贴面的价格从“经济型”到“奢望型”全覆盖,关键在于根据自身需求(美观、耐用、预算)和牙齿条件(敏感度、着色程度)理性选择。记住:贴面不是越贵越好,适合的才是更好的。