从自卑 “地包天” 到自信笑容,我用数年时间完成骨性三度地包天戴牙套正畸逆袭!

口腔整形2025-10-21 11:54

前些天,偶然间看到镜子里自己整齐的牙齿和协调的面部轮廓,思绪一下子就被拉回到了多年前被骨性三度地包天困扰的时光。那时候,地包天就像一个沉重的枷锁,不仅影响了我的咀嚼功能,更让我在人群中总是抬不起头。

地包天正面演示动画图

我从小就发现自己的牙齿和别人不太一样,下牙总是包在上牙外面。随着年龄的增长,这种差异越来越明显。每次照镜子,看到自己突出的下巴和不协调的面部,心里就像压了一块大石头。因为地包天,我吃饭的时候总是小心翼翼,生怕别人看到我奇怪的咀嚼方式。在学校里,我也总是刻意避开人群,不敢大声说话,更不敢开怀大笑,自卑的情绪像野草一样在心底疯狂生长。

我曾一度陷入绝望,觉得这辈子都要和这个难看的地包天相伴了。直到有一次,我在网上看到了一些网友分享的正畸成功病例,心中又燃起了一丝希望。我决定去看医生,寻求改变的方法。

地包天与正常咬合对比动画图

我来到了一家富有经验的口腔医院,见到了我的正畸医生。医生非常和蔼可亲,他仔细地为我进行了口腔检查,还拍了各种片子,做了详细的影像学评估。之后,他耐心地给我解释了我的病情,告诉我这是骨性三度反颌,是比较重度的牙颌面发育畸形,但通过正畸与外科手术相结合的方式是有可能矫正的。

听到医生的话,我既兴奋又紧张。兴奋的是终于有了治疗的方法,紧张的是不知道这个过程会有多痛苦。医生似乎看出了我的顾虑,他安慰我说:“虽然治疗过程会比较漫长和艰辛,但只要你积极配合,一定能看到满意的结果。” 那一刻,我仿佛看到了一丝曙光,坚定了治疗的决心。

地包天和正常对比图

治疗方案确定后,我首较高入了牙套矫正阶段。医生为我佩戴了特殊的矫治器,刚开始的时候,嘴里感觉特别不舒服,牙齿又酸又痛,连吃饭都成了一件难事。每次说话的时候,舌头还会不自觉地碰到矫治器,发出奇怪的声音。我甚至开始怀疑自己的决定是否正确,是不是要继续忍受这种痛苦。

但是,每当我想要放弃的时候,就会想起医生的鼓励和自己想要改变的决心。我告诉自己,这只是迈向成功的头一步,一定要坚持下去。随着时间的推移,我逐渐适应了牙套的存在。在这个过程中,我严格按照医生的要求,定期复诊,调整矫治力度。每次复诊,医生都会仔细检查我的牙齿情况,根据牙齿的移动情况调整矫治器。看着牙齿一点点地发生变化,我的信心也越来越足。

然而,牙套矫正的过程并不是一帆风顺的。有一次,矫治器上的一个小零件松动了,我非常着急,赶紧联系了医生。医生让我尽快去医院,他用可靠的工具帮我重新固定好了零件,并叮嘱我以后要更加注意口腔卫生和矫治器的保护。经过这次小插曲,我更加小心地呵护我的牙齿和矫治器,生怕出现任何问题影响治疗进度。

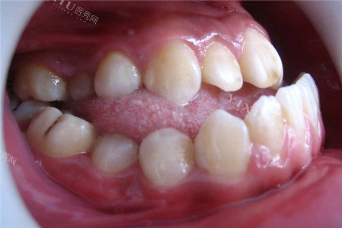
地包天牙齿照片

经过一段时间的牙套矫正,我的牙齿排列有了明显改善,终于迎来了正颌手术阶段。手术前,医生再次和我详细沟通了手术的过程和风险,让我做好心理准备。说实话,我心里非常害怕,毕竟这是一场手术,而且是在脸上动刀子。但是,我知道这是矫正地包天必不可少的一步,只有勇敢地面对,才能实现自己的梦想。

手术那天,我躺在手术台上,周围是忙碌的医生和护士。麻醉师给我打了麻醉针,我渐渐失去了意识。当我醒来的时候,已经在病房里了。我的脸肿得像个馒头,嘴里也插着各种管子,说话和吞咽都非常困难。术后的疼痛让我几乎难以忍受,但是我知道这是必须经历的过程。

在病房里,护士们非常细心地照顾我,医生也每天都会来查房,询问我的修养情况。我的家人和朋友也一直陪伴在我身边,给我鼓励和支持。在他们的关心下,我逐渐修养了信心。随着时间的推移,我的伤口慢慢愈合,肿胀也逐渐消退。我开始按照医生的指导进行术后护理和改善训练,虽然过程很艰辛,但我始终没有放弃。

地包天动画图

经历了数年的治疗和努力,我终于迎来了蜕变的时刻。当医生为我取下牙套的那一刻,我激动得热泪盈眶。看着镜子里整齐的牙齿和协调的面部轮廓,我简直不敢相信自己的眼睛。曾经的地包天消失不见,取而代之的是一副健康、自然的美丽笑容。

现在,我可以自信地和别人交流,可以开怀大笑,不再害怕别人异样的眼光。地包天带给我的自卑和痛苦已经成为过去,我迎来了崭新的人生。通过这次正畸经历,我明白了只要有梦想,并为之努力奋斗,就没有克服不了的困难。同时,我也非常感谢我的医生和家人朋友,是他们的可靠和关爱让我实现了蜕变。

如果你也和曾经的我一样,被地包天困扰,不要灰心,勇敢地迈出头一步。相信在可靠医生的帮助下,你也能像我一样,实现美丽逆袭,迎接属于自己的新生。