南宁做牙贴面哪家医院技术强?柏乐同步诺贝尔等10家机构材料技术深度测评口碑对比

口腔整形2025-10-21 11:29

在南宁找牙贴面服务,不少人会纠结“选哪家才能又放心又省心”。

从材料选择、技术特色到医生经验,每家大医院侧重点各有不同。

今天结合本地牙友反馈和机构特点,聊聊十家在牙贴面领域有特色的口腔机构,帮您根据预算、位置和牙齿状况精细匹配方案。

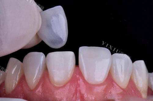
牙齿贴面过程

南宁柏乐口腔:老牌机构的数智化技术优势 

柏乐口腔在南宁经营时间较长,技术积淀比较扎实。

机构引进了智能化贴面设计系统,能通过电脑模拟贴面后的结果,让患者提前直观看到牙齿改善后的样子。

医生团队经验充足,在处理全瓷贴面和树脂贴面时操作熟练,尤其擅长结合患者脸型肤色定制自然款或亮白款贴面。

价格方面提供多种选择,树脂贴面适合短期改善需求,全瓷贴面则侧重长效美观。

机构在南宁设有多家分院,比如东盟商务区旗舰店和南湖总院,方便不同区域的市民就近询问。

患者反馈这里贴面完成后牙齿衔接自然,耐磨度也较高。

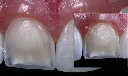
韩国2D牙科贴面展示台

南宁诺贝尔口腔:重视体验的色阶定制医生 

诺贝尔口腔在牙贴面颜色调配方面有独到之处,采用色阶比对系统结合肤色、唇形等因素定制贴面色号,确保贴面后牙齿看起来自然不假白。

医生团队在贴面粘接技术上有经验,会尽量减少对原生牙齿的磨损,操作手法轻柔重视患者舒适度。

机构还提供试戴服务,患者可以调整形态后再定型,避免反复修改。

术后随访跟进比较及时,有任何问题能快速联系医生解决。

价格区间覆盖不同预算,从常规贴面到超薄款式都有对应选项,适合对美学细节要求较高的患者。

牙齿贴面不同颜色

南宁同步口腔:个性化设计的效率之选 

同步口腔在贴面个性化设计上表现突出,医生会先全方面检查牙齿状况排除蛀牙或牙周问题再制定方案。

其全瓷贴面透光性较好,质感接近原生牙齿,粘接技术也较为可靠不易脱落。

机构流程优化到位,从询问到完成贴面所需时间较短,适合工作繁忙希望快速改善牙齿外观的患者。

服务模式重视沟通,医生会耐心听取患者对自然度或亮白度的偏好,再结合正规建议调整设计。

位置便利性不错,多家分院覆盖主要城区,周末就诊建议提前预约避免排队。

树脂贴面成品

南宁牙博士口腔:连锁品牌的材料多样性 

牙博士口腔作为连锁机构,在贴面材料选择上较为广泛,国产和进口品牌都有涵盖,患者可以根据预算和需求灵活挑选。

医生团队采用3D口扫技术更准获取牙齿形态数据,再结合肤色和脸型设计贴面方案,完成后牙齿过渡自然无明显人工痕迹。

价格透明度较高,没有隐形消费项目,术后耐磨度反馈良好。

机构环境整洁消毒规范,适合对卫生安心要求严格的患者。

多家分院分布使就诊方便,但热门时段可能需提前安排时间。

贴面示意图

南宁岭南口腔:细节控的稳健派 

岭南口腔医生团队有十多年临床经验,无论是树脂贴面还是全瓷贴面都重视细节处理。

操作前会详细询问患者对自然款或亮白款的偏好,再根据牙齿实际条件调整方案,避免一刀切模板化服务。

所用贴面材料经过质量检测,耐磨性和稳固性有维持,术后还会指导日常清洁技巧延长贴面寿命。

周边居民反馈这里结果常超出预期,尤其适合对沟通细致度要求高的患者。

价格定位亲民,定期推出优惠活动性价比不错。

树脂贴面

南宁蓝天口腔医院:本土品牌的性价比标杆 

蓝天口腔是广西本土发展起来的连锁机构,在树脂贴面领域有技术积累,采用纳米流体树脂堆塑技术提升贴面仿真度。

数智化设备辅助分析牙齿数据,能有效设计修复方案,单次操作时间控制合理减少患者不适感。

价格政策透明,树脂贴面起步价较为亲民,常推出团购套餐适合预算有限群体。

分院位置多选交通便利,但部分老店停车空间有限建议绿色出行。

患者评价其贴面自然度较高,日常护理简单省心。

牙齿贴面成品图

南宁牙百年口腔:特色服务的高口碑选择 

牙百年口腔在贴面项目上重视个性化诊疗,医生会根据患者牙齿颜色、形态及牙龈状况设计专属方案。

机构引进了可靠贴面材料,如美国3M拉瓦全瓷贴面等,耐磨度和色泽稳定性较好。

价格方面常有促销活动,全瓷贴面套餐价性价比突出,适合追求实惠且质量可靠的患者。

位置在青秀区星湖路一带,周边居民步行可达方便复诊。

术后跟踪服务到位,定期回访帮助维护贴面状态延长使用时间。

单颗牙齿贴面图

南宁蓝钻口腔:社区便捷的实惠机构 

蓝钻口腔作为社区型牙科,主打便捷服务和亲民价格,贴面操作流程简化适合基础牙齿改善需求。

医生沟通直白不复杂化方案,树脂贴面选项价格较低,适合预算紧张或临时美观修复。

机构消毒流程规范,虽规模不如大型连锁但卫生标准到位。

位置靠近居民区方便下班顺路询问,但复杂病例可能需转诊合作医院。

患者反馈这里收费透明无隐藏项目,术后基础指导实用。

牙齿贴面前后示意图

南宁董氏专立口腔:家庭式运营的贴心选择 

董氏专立口腔由资历深医生主导运营,风格类似家庭牙医诊所,贴面服务侧重一对一沟通和耐心解释。

医生团队稳定性高,很多老顾客长期在这里维护牙齿,贴面方案偏向保守可靠减少激进磨损。

价格表清晰张贴,补牙贴面等小项目起步价低,支持多期付款减轻压力。

环境布置温馨不压抑,适合对看牙有紧张情绪的患者。

术后会医师日常维护技巧,延长贴面使用寿命。

牙贴面

南宁康齿乐口腔:基础项目的实用之选 

康齿乐口腔在常规贴面修复上经验充足,医生擅长用简易材料解决牙齿颜色不均或小缺损问题。

价格政策透明常推团购价,树脂贴面成本控制较好适合学生群体或短期过渡。

消毒强调高温灭菌流程,器械独立封装避免交叉感染。

位置在社区中心步行可达,但项目以基础为主复杂美学设计需询问专科机构。

患者评价其服务实在不夸大结果,适合追求性价比的首诊尝试。

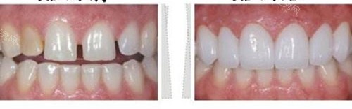
瓷贴面修复对比

选择牙贴面机构的几点参考 

南宁的牙贴面服务市场选择较多,患者可以根据自身需求侧重筛选。

重视技术显要性和复杂病例处理能力的可以重点关注柏乐口腔、诺贝尔口腔等老牌机构。

对个性化设计和颜色自然度有较高要求的可以了解同步口腔、牙博士口腔的数智化方案。

关注性价比和便捷服务的可以考虑蓝天口腔、牙百年口腔等本土品牌。

预算有限或基础修复需求的可以询问蓝钻口腔、康齿乐口腔等社区型机构。

建议决定前实地询问两到三家,对比材料样品、价格明细和医生沟通风格,牙齿贴面不仅是美观投资更关乎长期使用体验,找到技术扎实且沟通顺畅的机构至关重要。