嘉定看牙不迷路!十大正规口腔医院深度解析,维乐/雅悦/拜博各有特色

口腔整形2025-10-09 11:12

在嘉定找一家正规又舒心的口腔医院,既要技术娴熟、价格透明,又要服务贴心、位置便利。

作为混迹上海口腔圈多年的老编辑,今天直接亮出十家经过街坊邻居反复验证的牙科:维乐口腔、伸博口腔、瑞伢美口腔、雅悦齿科、拜博口腔、瑞欧齿科、星诺口腔、正睿齿科、华尔康星月口腔、华齿口腔。

它们从种牙、矫正到日常护理各有侧重,无论是解决牙齿急症还是美学修复,都能找到对路的选择。

上海维乐口腔外观


上海维乐口腔:数智化技术的靠前派

维乐口腔在嘉定洪德路的美维晶门诊,主打数智化诊疗全流程。

从3D口扫建模到动态导航种植,技术团队擅长用数据更准规划治疗方案。

比如种植牙手术前,医生会模拟咬合力分布,避免后期承压不均。

院长翟建博在美学修复上经验充足,贴面颜色能匹配天然牙的透光感。

价格中上,但常推种植牙首颗五折活动,适合对科技体验有要求的年轻人。

上海雅悦齿科:老牌连锁的高性价比

雅悦齿科在嘉定大融城的分店,是二十多年连锁品牌的地方支点。

它家强在AI数智化中心,复杂种植病例可实现当天拔牙、当天种牙。

正畸医生孙文博擅长处理深覆合等难题,隐形矫正方案会结合面部轮廓设计牙弓形态。

价格亲民,传统金属矫正9800元起步,美国植体5980元起,初诊检查免费,适合家庭长期口腔管理。

上海瑞伢美瑞亭口腔走廊图

上海瑞伢美口腔:本地起家的社区医生

瑞伢美从嘉定起家,深耕十五年,分店覆盖城中路、博乐路等多个社区。

医生团队稳定性高,比如种植医生万珂瑞擅长技术,减少患者奔波次数。

特色在于社区化服务,老顾客复诊可走绿色通道,儿童涂氟套餐百元内搞定。

周边居民评价它家“像老朋友一样放心”,沟通直白无压力。

上海拜博口腔:国内连锁的规范标杆

拜博口腔作为国内出名连锁,嘉定分院延续了标准化流程。

从初诊建档到术后回访,每个环节有明确规范。

种植中心引进德国精密设备,擅长全口无牙颌种植;正畸科则提供舌侧矫正等小众项目。

价格透明,官网公示基础项目价,洗牙套餐常含抛光服务,适合重视流程安心的患者。

上海正睿口腔医院前台

上海正睿齿科:医生合伙制的技术沉淀

正睿齿科在福海路的嘉一口腔门诊部,采用医生合伙人模式,主力医生康坚、李建君从业超十年。

技术亮点在细节把控,比如根管治疗会用显微镜清理侧支根管,降低复发率。

价格梯度清晰,补牙采用耐磨树脂材料,老顾客享九五折优惠,适合追求长期稳定的患者。

上海星诺口腔:江桥区域的隐形冠军

星诺口腔在曹安公路江桥店,虽规模不大但技术密度高。

院长团队有综合医院背景,擅长疑难种植如穿颧穿翼技术。

隐形矫正方案会模拟牙齿移动动画,患者可预览实际结果。

价格适中,瑞士ITI种植牙套餐性价比突出,附近居民称其“小而精的代表”。

上海瑞欧齿科诊疗室

上海瑞欧齿科:德系精工的舒适体验

瑞欧齿科在江桥华泰中心的分院,重视就诊舒适度。

候诊区配备降噪系统,牙椅自带影音设备分散注意力。

医生团队擅长小创口治疗,比如超声骨刀拔智齿创伤小,激光牙周治疗出血少。

价格偏高端,但含术后免费复查服务,适合怕疼的敏感人群。

上海伸博口腔:技术流的小而美

伸博口腔由沈莹浩医生主导,专注高难度修复。

前牙美学区种植时,会结合牙龈整形确保红白美学协调。

设备上引进意大利切削系统,牙冠可当天制作完成。

价格中档,但初诊面诊时间充足,医生会手绘示意图讲解方案,适合对审美有高要求的患者。

***贝佳口腔前台

***星月与华齿口腔:社区双星的便捷服务

华尔康星月口腔靠近居民区,主打家庭全科护理,儿童窝沟封闭和老年活动义齿调整是强项。

华齿口腔则胜在预约灵活,午休时段可处理急症。

两家价格都贴近社区需求,补牙套餐常含抛光,适合日常保养和急症处理。

价格透明度:避开隐形消费的关键

嘉定正规牙科普遍重视价格公示,维乐官网展示参考价,雅悦初诊提供明细表。

但复杂项目如全口种植,需面诊后确定实际费用。

建议重点确认基台、牙冠是否打包计价,调整次数是否有限制。

瑞伢美等机构会将基础项目价格贴在墙面,方便患者对比。

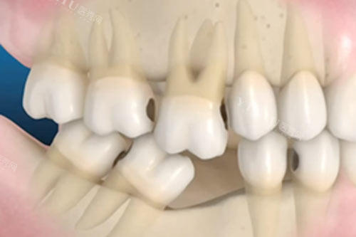
牙齿缺一颗不补产生的影响图

地理位置与便利性:嘉定人的动线逻辑

维乐口腔近西云楼商业区,停车便利;雅悦齿科在大融城,地铁直达;瑞伢美多店覆盖社区,步行可达。

急症处理可选伸博等社区诊所,长期项目优先考虑维乐等设备完善的连锁机构。

周末就诊建议提前一周预约,避免排队。

匹配需求才是性价比王道

在嘉定看牙没有标准答案。

重数智化体验选维乐,求性价比盯紧雅悦,要社区贴心服务找瑞伢美,复杂修复考虑正睿或星诺。

建议先明确核心诉求:种牙矫正看重在生资历,日常护理关注便捷度,儿童牙科考察沟通耐心。

牙齿是长期投资,相处舒服比口碑更重要。