鸡西做补牙多少钱?普通树脂材料149元起、进口树脂材料180元起

口腔整形2025-06-24 10:57

在鸡西,补牙的费用因多种因素存在差异,一般在 149 元 - 2000 元左右。以下是影响补牙价格的几个主要因素:

补牙高位嵌体

一、材料类型

普通树脂材料:价格相对较低,一般在 149 元 - 300 元左右。这种材料具有一定的强度和耐用性,能够满足基本的补牙需求,但美观度稍差,颜色与牙齿的匹配度可能不够高。

进口树脂材料:如美国进口的 3M 树脂,价格在 180 元 - 200 元左右。这类材料在性能和美观度上都有所提升,颜色更接近天然牙齿,且硬度和耐磨性较好,使用寿命相对较长。

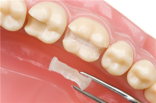
嵌体修复材料:价格相对较高,树脂嵌体在 880 元 - 900 元左右,聚合瓷嵌体约 1000 元 - 2000 元,玻璃陶瓷嵌体约 2500 元 - 3000 元,二氧化锆嵌体则可能达到 3500 元 - 4000 元。嵌体修复适用于牙齿缺损较大、普通树脂填充难以达到理想结果的情况,其美观度和耐用性都较好,能够更好地修复牙齿的形态和功能。

补牙嵌体模型示意图

二、牙齿受损程度

浅龋或中龋:如果龋齿较浅或中等程度,补牙过程相对简单,费用也较低,一般在 149 元 - 300 元左右。这种情况下,通常只需要去除龋坏部分,然后填充相应的材料即可。

深龋:当龋齿较深,接近牙髓时,补牙的难度和复杂性会增加,可能需要进行垫底、安抚治疗或间接盖髓术等操作,费用也会相应提高,一般在 300 元 - 500 元左右。如果深龋导致牙髓炎,还需要进行根管治疗,其费用则更高,单颗根管治疗的价格在 590 元 - 7000 元左右。

牙医检查牙齿

三、医院等级和医生技术

医院等级:不同等级的医院收费标准有所不同。一些大型的口腔医院或专科医院,设备丰富、环境舒适、服务质量高,补牙价格可能会相对较高,一般在 200 元 - 2000 元左右;而一些小型的诊所或社区医院,价格可能会相对便宜一些,但设备和技术水平可能稍逊一筹。

医生技术:经验充足的医生在补牙过程中能够更正确地判断牙齿的受损情况,选择合适的材料和治疗方法,操作更加熟练和精细,从而提高补牙的质量和结果。

补牙改善照片示意

四、其他因素

地区差异:鸡西不同区域的消费水平和物价水平也会影响补牙的价格。一般来说,市区的口腔医院或诊所由于租金、人力成本等相对较高,补牙价格可能会比郊区或偏远地区的医院稍贵。

治疗过程中的额外费用:在补牙过程中,如果需要进行牙齿拍片、局部麻醉等操作,可能会产生额外的费用。例如,牙齿拍片的价格一般在几十元到一百多元不等,局部麻醉的费用也在几十元左右。

总之,在鸡西做补牙,价格因多种因素而有所不同。建议在补牙前,先到正规的口腔医院或诊所进行详细的检查,了解具体的补牙方案和费用明细,以便做出合理的选择。