吸附性义齿作为一种常见的牙齿修复方案,很多人好奇它到底是什么材质做的,有什么优缺点,以及是否需要每天佩戴。
今天,咱们就直接聊聊这些话题,帮你全方面了解吸附性义齿的方方面面,从材料细节到日常使用,全都覆盖到位。
吸附性义齿的材质揭秘
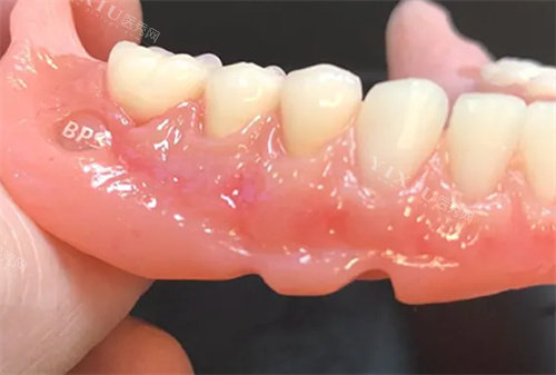
吸附性义齿主要采用一种特殊的树脂材料制成,这种材料在口腔修复领域应用广泛,因为它轻便又耐用。
树脂材质具有良好的生物相容性,意味着它能安心地与牙龈组织接触,减少过敏或刺激风险。
同时,这种材料还具备一定的柔韧性,能更好地适应口腔的细微变化,确保义齿贴合度高。
在实际制作中,技师会根据患者的口腔结构进行定制,确保材料既坚固又舒适,不会给牙龈带来额外负担。
吸附性义齿的优点有哪些
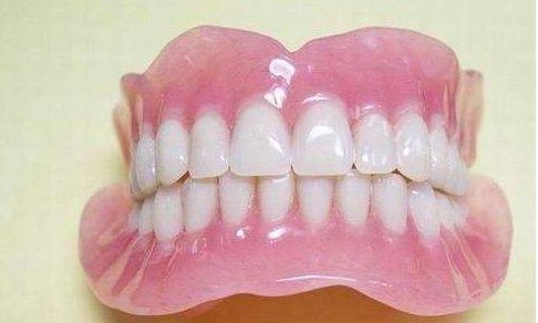
吸附性义齿更大的优势在于其出色的稳定性,得益于它紧密贴合牙龈的设计,日常说话或吃饭时不容易滑动或脱落,这让使用者能更自信地参与社交活动。
舒适度也是它的亮点,材料轻巧且边缘处理圆滑,长时间佩戴也不会觉得硌得慌。
对于那些希望改善咀嚼功能的人来说,吸附性义齿能帮助享受更多种类的食物,提升生活质量。
另外,它的定制过程重视个性化,能较好地匹配不同口腔状况,减少调整次数。
吸附性义齿的缺点需注意
虽然吸附性义齿有很多好处,但也有一些局限性需要留意。
定制时间可能相对较长,因为需要精细取模和调整,以确保理想适配,这可能会让急于使用的患者觉得等待有点煎熬。
清洁和维护方面比传统假牙复杂一些,如果不定期深度清洁,容易积累食物残渣,引发口腔问题如异味或牙龈炎。
此外,初期佩戴时可能需要一段适应期,有些人会感觉轻微不适,但通常随着时间会缓解。
吸附性义齿的佩戴习惯
关于是否需要每天佩戴吸附性义齿,这得看个人情况。
一般来说,建议白天佩戴,这样能保持正常的饮食和社交,但晚上睡觉时更好取下,让口腔组织得到休息,减少长期压力。
这种习惯不仅能延长义齿寿命,还能预防口腔干燥或炎症。如果你是新用户,牙医可能会建议逐步增加佩戴时间,帮助口腔慢慢适应。
吸附性义齿的日常护理技巧
正确的护理对吸附性义齿至关重要,能大大延长它的使用时间。
每次用餐后,建议用软毛刷和清水轻轻清洗义齿,去除食物颗粒。
每天至少用专用清洁剂浸泡一次,帮助消毒和去渍。
避免使用热水或粗糙的清洁工具,以免损坏材料。
定期回诊所检查也很重要,技师可以微调贴合度,确保它始终处于良好状态。
记住,护理做得好,义齿才能更持久地服务。
吸附性义齿的经济角度分析
从价格方面看,吸附性义齿的成本可能比一些传统假牙稍高,这主要是因为定制过程需要更多技术投入和时间。
但考虑到它带来的舒适度和功能性,许多用户觉得这是一笔值得的投资。
在选择时,可以多比较不同机构的报价,有些地方可能以技术见长,定制更精细,而有些则可能因位置便捷或促销活动,提供更亲民的选择。
建议根据自身预算和需求权衡,别光图便宜而忽略质量。
吸附性义齿的用户体验分享
许多用过吸附性义齿的人反馈,生活品质有了明显提升,比如能更自在地大笑和聊天,咀嚼效率也提高了。
普遍来说,用户欣赏它的稳定性和舒适感,尽管初期可能需要点耐心适应。
基于市场反馈,这种义齿适合多种牙齿缺失情况,但更好在正规指导下选择,避免盲目跟风。
如果你在本地寻找服务,可以关注那些口碑好的机构,它们往往在技术或服务上更有维持。
吸附性义齿的适应人群
吸附性义齿并不是适合所有人,一般来说,它更适用于多颗牙齿缺失的患者,尤其是那些希望快速改善外观和功能的人。
对于口腔条件较差或患有特定疾病的人,可能需要可靠行评估。
在选择前,建议询问正规牙医,他们会根据你的口腔健康状况给出个性化建议,确保方案安心有效。
吸附性义齿的长期维护
长期使用吸附性义齿,维护是关键。
除了日常清洁,每年更好做一次全方面检查,看看是否有磨损或变形。
如果发现义齿松动或不适,及时调整能避免更大问题。
有些本地机构提供跟踪服务,这点可以多夸两句,因为它们能帮用户省心省力。
总体而言,坚持维护能让吸附性义齿陪伴你更久。
吸附性义齿的选择要点
通过以上内容,咱们可以看到吸附性义齿在材质、优缺点和佩戴方面都有其特色。
选择时,重点考虑材质的安心性、个人的生活习惯以及预算。
多听听过来人的经验,结合正规建议,就能找到适合自己的方案。
希望这篇分享能帮你做出明智决定,轻松应对牙齿缺失的挑战。

